Gesunde Zähne und ein schönes Lächeln ergeben einen zufriedenen Menschen

 

Bleaching

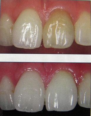
Schonende Zahnaufhellung

Veneers

Verbesserung der Ästhetik mit hauchdünne Keramikschalen

Schiefstellungen

Zahnschmuck

Schmucksteine auf die Frontzähne