Gesunde Zähne und ein schönes Lächeln ergeben einen zufriedenen Menschen

Zahnersatz

- Kronen und Brücken auf Metallbasis

- Metallfreie Brücken und Kronen

- Totalprothesen

- Teilprothesen

- Kombiarbeiten- Teleskopen, Geschiebeprothesen

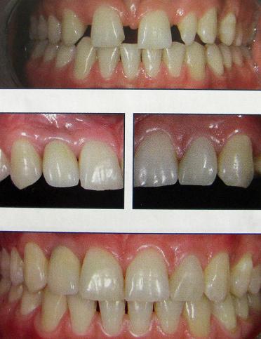
Lücken und Abstände

Prothetische Versorgung

Vollkeramische Versorgung